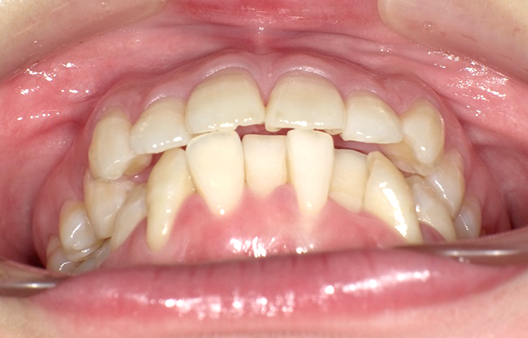
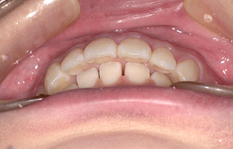
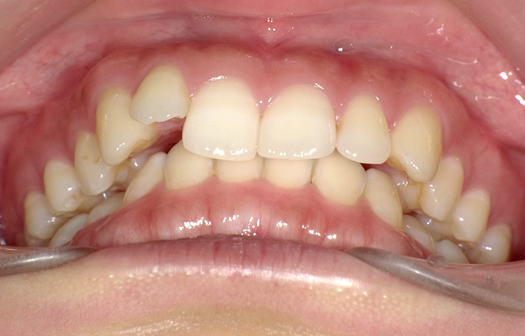
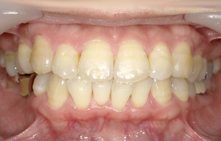
部分矯正とは?
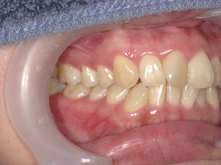
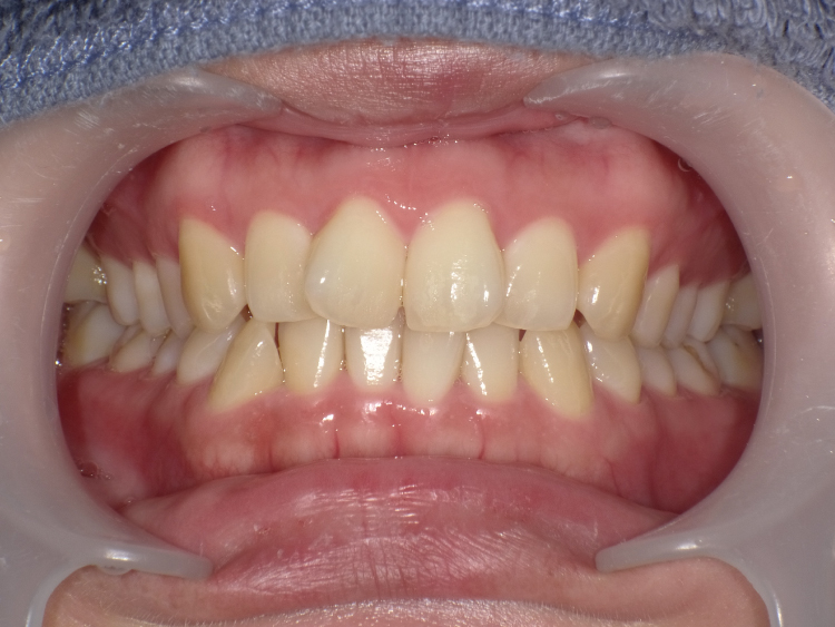
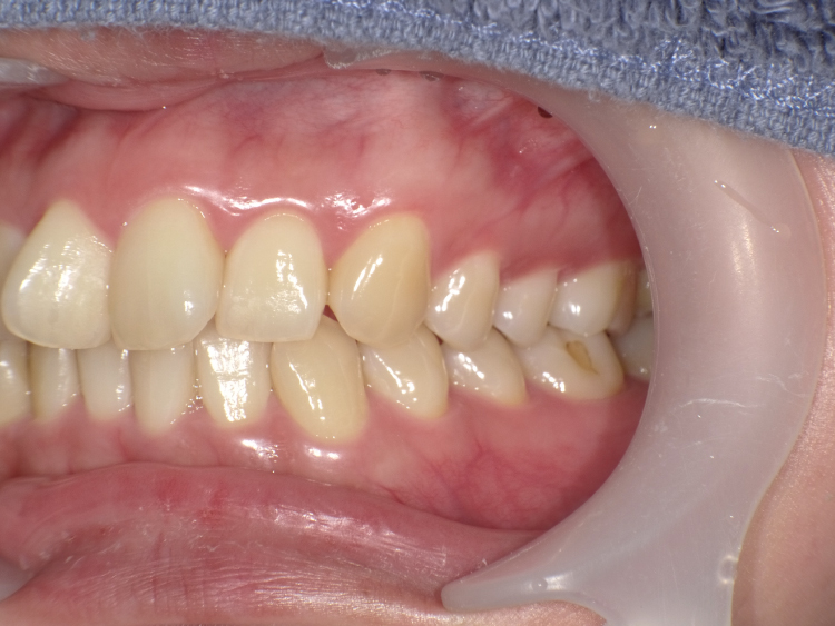
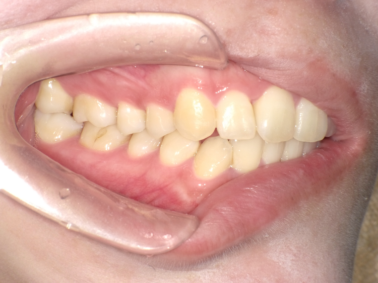
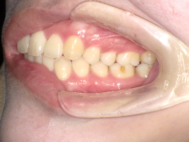
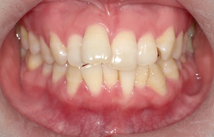
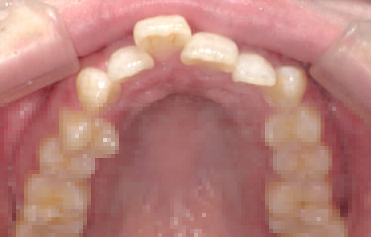
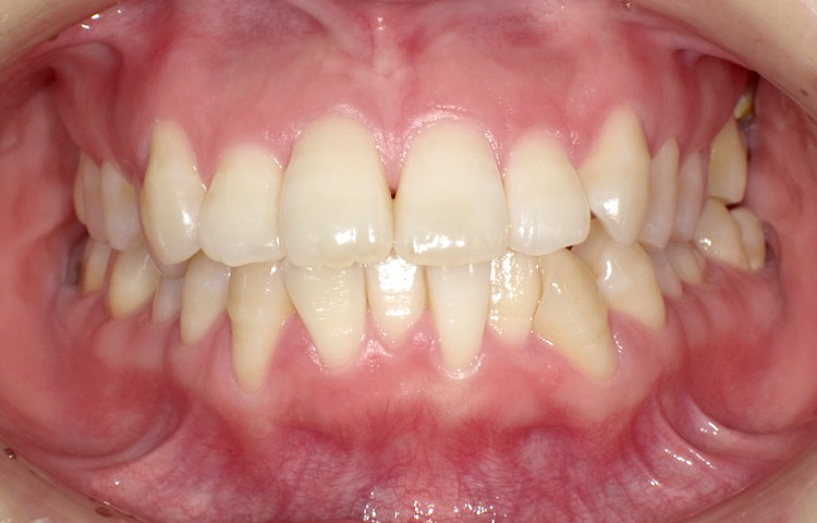
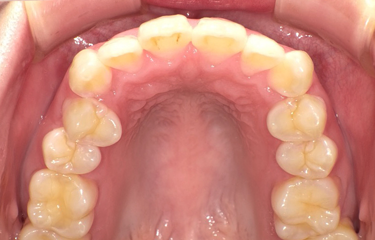
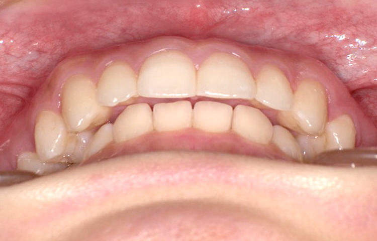
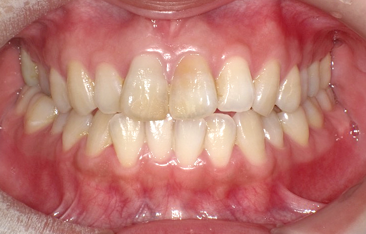
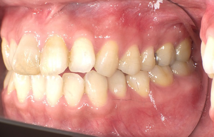
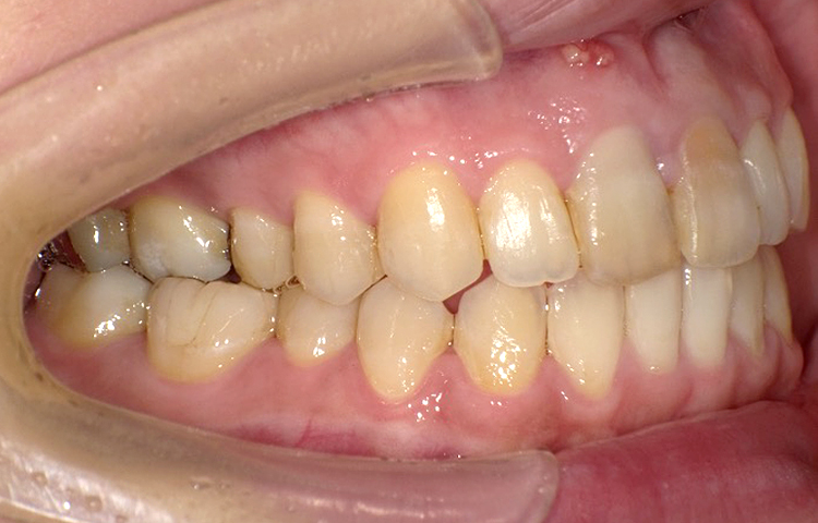
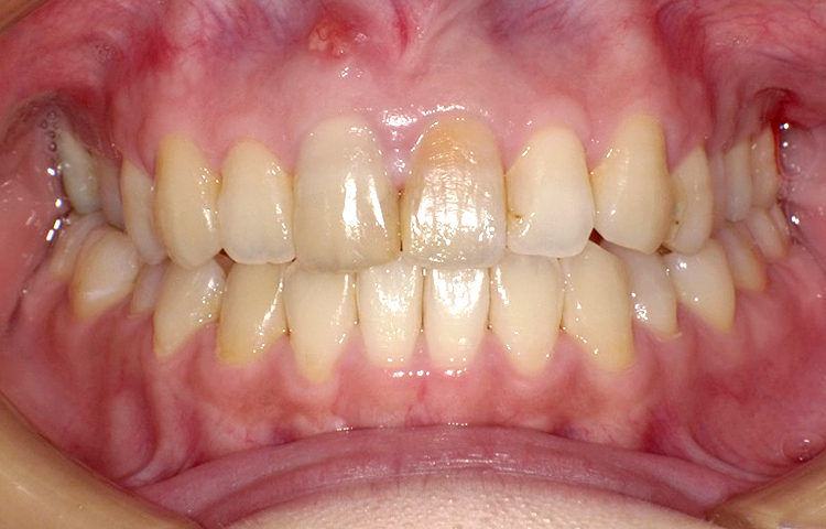
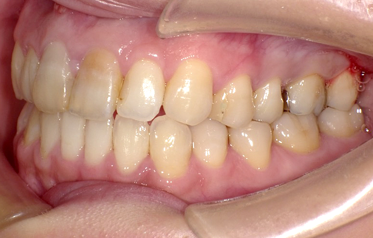
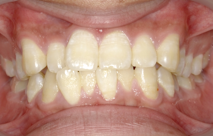
プチ矯正(部分矯正)は、装置を犬歯から犬歯の計6本のみの歯に装着し、目立つ前歯のみを治療です。
ブラケット(ワイヤーを固定するための装置)には金属のメタルブラケットと、白色の審美ブラケットがあり、さらに、ワイヤーも「白ワイヤー」を使い、より目立ちにくい矯正治療を行うことができます。
など、患者様が矯正治療(歯列矯正)に踏み切れない代表的な理由は、治療期間と治療費です。
プチ矯正(部分矯正)は、目立つ前歯のみを矯正するため、
従来の全顎矯正に比べて治療期間が短く、費用も安くすみます。
当院がオススメする
前歯の部分矯正で全て解決!
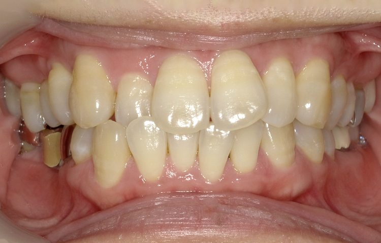
プチ矯正(部分矯正)は、装置を犬歯から犬歯の計6本のみの歯に装着し、目立つ前歯のみを治療です。
ブラケット(ワイヤーを固定するための装置)には金属のメタルブラケットと、白色の審美ブラケットがあり、さらに、ワイヤーも「白ワイヤー」を使い、より目立ちにくい矯正治療を行うことができます。
従来の全顎矯正は歯全体に矯正装置を装着し、歯と顎のバランスやかみ合わせを整えながら歯並びを治療します。
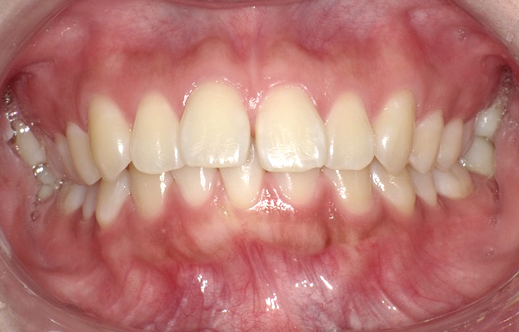
プチ矯正(部分矯正)は、装置を犬歯から犬歯の計6本のみの歯に装着し、目立つ前歯のみを治療します。
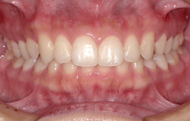
前歯は奥歯に比べると、歯の移動距離も少なく移動しやすいので、かみ合わせの調整にもそれほど期間を要しません。
プチ矯正(部分矯正)は全顎矯正に比べると、治療期間が短くて費用も安く、痛みが少ないというメリットがあります。
従来の全顎矯正の治療期間は約2~3年ですが、プチ矯正(部分矯正)は約3~6ヶ月と短期間で行います。
その後、整えた歯並びを安定させるメンテナンスを1~3ヶ月に1回の間隔で行います。
| 全体矯正の場合 | 2年〜3年間が目安 |
|---|---|
| 部分矯正の場合 | 3〜2ヶ月が目安 |
※お口の状態によっては、プチ矯正(部分矯正)に適さない場合もあります。
事前にカウンセリングと検査を行いますので、ご不明な点はご相談下さい。
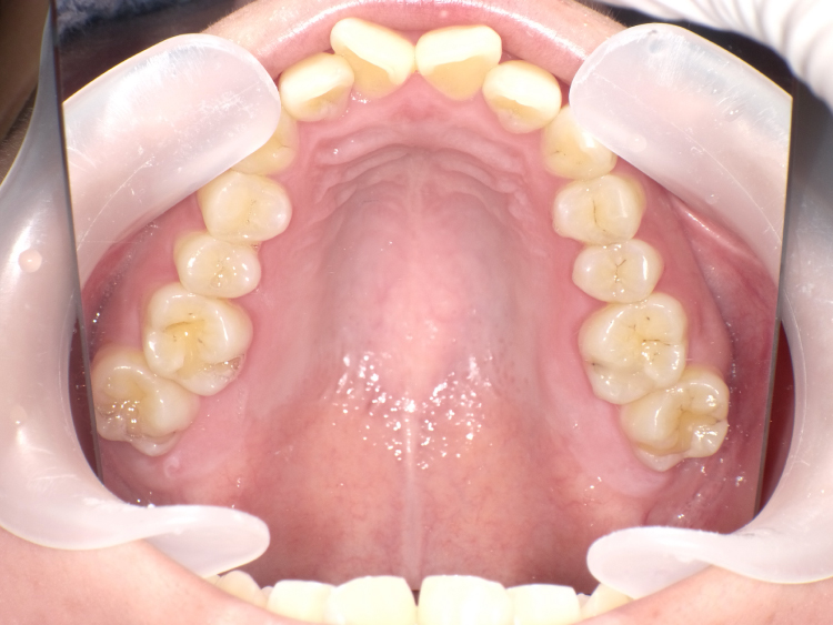
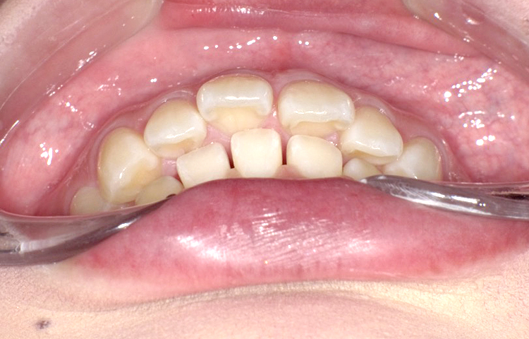
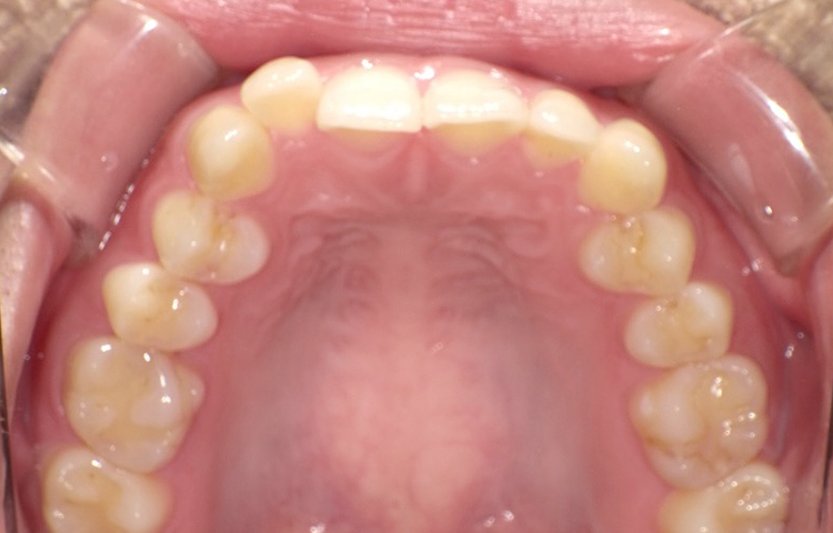
前歯の計6本(犬歯から犬歯)の表面に「ブラケット」という装置(幅2~5mm)を取り付けてワイヤーを通し、歯を動かしていきます。
ブラケットには金属のメタルブラケットと、白色の審美ブラケットがあります。
歯並びが乱れる一般的な原因は、歯と顎の大きさのバランスがとれていないことです。
そのため、歯がきれいに並ぶためのスペースを作る必要がある場合があります。
その場合は、ストリッピングといって前歯の隣接面を少し(左右0.5mm程)スライスし、歯の幅を小さくします。
下顎前歯の乱れが大きい場合は、前歯を1本抜歯する場合もあります。
※部分矯正の治療のために歯を抜歯した場合、1本につき別途11,000円(税込)が必要になります。
矯正治療中の見た目が気になる方には、
目立ちにくい「審美ブラケット+白ワイヤー」をお勧めします
ワイヤー治療では歯にブラケットを装着しますが、矯正治療中の装置の見た目は、やはり気になるものです。
当院では、従来の金属製の「メタルブラケット」の他、歯の表面に装着しても目立ちにくい、
「審美ブラケット」での治療が可能です。
さらにワイヤーの金属色も目立って気になるという方には、白いワイヤーをお勧めしています。
「審美ブラケット」と「白ワイヤー」を使用することにより、より目立ちにくい矯正治療を行うことができるようになります。
| 長所 | 強度が丈夫で、装置代金は治療費に含まれるため、 費用を抑えることができる |
|---|---|
| 短所 | 銀色のため目立ちやすい |
| 価格 | 0円(治療費に含まれています) |
| 長所 | 装置が目立ちにくく、 金属アレルギーなどが起こる可能性が低い |
|---|---|
| 短所 | 金属製に比べ、やや強度が弱い |
| 価格 | 55,000円(税込) |
歯並びやお口の状態に関するお悩みや、不安など何でもご相談ください。
口腔内写真撮影、顔貌写真撮影、レントゲン撮影、模型採取、虫歯検査、歯周病検査など、部分矯正の治療に適切な検査を行います。
検査の結果をもとに、症例に適した治療計画と、具体的な治療期間、治療費について改めて説明いたします。※お口の状態によっては、歯周病などの治療を先に行う場合もあります。
矯正装置を装着し、治療を開始します。
歯並び・かみ合わせと保定装置のチェック、お口全体のクリーニング(歯石除去・着色の除去)や虫歯のチェックなどを行います。※メンテナンスの通院間隔は1~3ヶ月に1回です。
ブラケットとワイヤーを外した後に、移動した歯が元の位置に戻ろうとする、
「後戻り」を防止する『歯を動かさないための装置』です。
保定装置には、取り外しのできるタイプ(可撤式リテーナー)と、取り外しができないタイプ(固定式リテーナー)があります。
アクリル樹脂やラバー系の材料でできた、透明なマウスピースタイプの保定装置です。
取り外しが可能で、夜間のみ使用していただきます。
歯の裏側に細くて丈夫なワイヤーを接着して固定し、後戻りを防ぎます。
装置が小さくて目立ちにくいのが特徴です。
固定式なので取り外しは出来ませんが、保定に優れています。
| 保定装置の再作製料 | 5,500~22,000円(税込) |
|---|
下記の「前歯を動かす治療」「オプション」「月々の調整料」の合計が治療費になります。
| 前歯を動かす治療 | 220,000円(税込) ※メタルブラケット、メタルワイヤー、 最初にお渡しする保定装置は、料金に含まれています。 |
|---|
| オプション (目立たない審美ブラケット、 白ワイヤーを選択される場合) |
審美ブラケット&白ワイヤー:55,000円(税込) |
|---|
| 月々の調整料 | 6,600円(税込) / 月 |
|---|
※部分矯正の治療のために歯を抜歯する場合は、1本につき11,000円(税込)、歯を動かす治療の前に歯周病の治療を行う場合は、保険適用の治療費が別途必要になってきます。
※上記は、上の歯、下の歯のどちらか片側だけ治療した場合の、おおよその治療費です。 実際の治療の際は、患者様のお口の状態により上記とは異なる場合もありますので、担当医もしくは、カウンセリングスタッフまでご相談ください。
プチ矯正(部分矯正)についてのご相談は初回は無料です。
レントゲンと口腔内の撮影・診断を行い、患者様に合った治療方法・治療期間・料金などのご提案をさせて頂きます。
ハシモトデンタルオフィスでは、クレジットカードでの分割払いや、月々のわずかなご負担で治療が受けられるデンタルローンを取り扱っています。プチ矯正(部分矯正)は医療費控除の対象にもなりますので、お気軽にご相談ください。
各種キャッシュレス決済にも対応しております。保険診療は現金、自費診療はクレジットカード・デンタルローンでのお支払いとなります。(※お支払い時に受付までお問い合わせください。)
ハシモトデンタルオフィスでは、月々のわずかなご負担で最適な治療を受けられる「デンタルローン」を取り扱っております。

36回払いまでなら、金利手数料は当院が負担いたします。(※ハシモトデンタルオフィスで治療を受けて頂ける方が対象となります)
※本ページに掲載している金額は、治療実施当時の料金です。
現在の料金体系や保険適用状況とは異なる場合がございます。
記載内容はあくまで参考情報であり、最新の料金・治療内容については必ず事前に当院へご確認ください。










| 主訴 | 上下の前歯のゆがみ(叢生)を治したい |
|---|---|
| 治療 期間 |
約6ヶ月 |
| 治療費 | 330,000円(税込)/調整費用別途 |
| 治療 内容 |
ワイヤープチ矯正で上下の前歯の矯正治療を行った。 前歯の歯と歯の間をごく少量削り、前歯計8本の向きを揃えた。 見た目が綺麗になったことははもちろん、 磨きにくかったところが磨きやすくなった。 |
| 治療の リスク |
歯と歯の間を削ることでスペースを確保するので、 場合によっては歯が染みる症状が出ることがある。 |
| 主訴 | 上の前歯のガタつきが気になるので前歯だけ綺麗にして欲しい |
|---|---|
| 治療 期間 |
約6ヶ月 |
| 治療費 | 165,000円(税込)/調整費用別途 |
| 治療 内容 |
上の前歯部にワイヤーを着けて進めていく、プチ矯正で施術。 |
| 治療の リスク |
見た目を綺麗にする目的で短期間で仕上げる為噛み合わせは矯正しない。 |
| 主訴 | 上下前歯全体の歯並びが気になる |
|---|---|
| 治療 期間 |
約6ヶ月 |
| 治療費 | 330,000円(税込)/調整費用別途 |
| 治療 内容 |
上下の前歯部にワイヤーを着けて進めていく、プチ矯正で施術。 |
| 治療の リスク |
固定の装置をつけないと後戻りしてしまう。 |






| 主訴 | 右上1番出ている 上のみ部分矯正希望 |
|---|---|
| 治療 期間 |
約8ヶ月 |
| 治療費 | 220,000円(税込)/調整費用別途 |
| 治療 内容 |
上の前歯部にワイヤーを着けて進めていく、プチ矯正で施術。 |
| 治療の リスク |
奥歯を動かさないので、前に出して並べていく。 歯と歯が移動するスペースを作るので、知覚過敏の症状がまれにでる。 装置による清掃の難しさから、歯肉炎や歯周病、虫歯の進行がするリスクが高まる。 歯を動かすことで、歯茎が下がるリスクある。 矯正終了後は、リテーナーを使用し、後戻りを防ぐ必要がある。 |






| 主訴 | 右上1番下げたい 1.1間隙間うめたい 上のみ部分矯正希望 |
|---|---|
| 治療 期間 |
約7ヶ月 |
| 治療費 | 175,000円(税込)/調整費用別途 |
| 治療 内容 |
上の前歯部にワイヤーを着けて進めていく、プチ矯正で施術。 |
| 治療の リスク |
奥歯を動かさないので前に出して並べていく。 歯を動かすことで、歯茎が下がるリスクある。 装置による清掃の難しさから、歯肉炎や歯周病、虫歯のリスクが高まる。 矯正終了後は、リテーナーを使用し、後戻りを防ぐ必要がある。 |






| 主訴 | 右上2番前にでてるのが気になる 上のみ部分矯正希望 |
|---|---|
| 治療 期間 |
約4ヶ月 |
| 治療費 | 247,500円(税込)/調整費用別途 |
| 治療 内容 |
上の前歯部にワイヤーを着けて進めていく、プチ矯正で施術。 |
| 治療の リスク |
奥歯を動かさないので前に出して並べていく。 歯を動かすことで、歯茎が下がるリスクある。 装置による清掃の難しさから、歯肉炎や歯周病、虫歯のリスクが高まる。 矯正終了後は、リテーナーを使用し、後戻りを防ぐ必要がある。 |










| 主訴 | 前歯2本出ているのが気になる |
|---|---|
| 治療 期間 |
約9ヶ月 |
| 治療費 | 412,500円(税込)/調整費用別途 |
| 治療 内容 |
上下の前歯部にワイヤーを着けて進めていく、プチ矯正で施術。 |
| 治療の リスク |
奥歯を動かさないので前に出して並べていく。 歯を動かすことで、歯茎が下がるリスクある。 装置による清掃の難しさから、歯肉炎や歯周病、虫歯のリスクが高まる。 矯正終了後は、リテーナーを使用し、後戻りを防ぐ必要がある。 |
A、当院で行うプチ矯正は、概ね半年以内で終えられる方が多いのですが、治療の中断があったり、歯が動きにくい方だと半年を超える場合もあります。
A、治療は可能ですが、前突感を完全になくすことは出来ません。
歯と歯の隙間や、凹凸(おうとつ)を一列に並べることは可能です。
A、可能です。
A、部分矯正で受け口を治すことはできないことが多いです。
A、前歯6本だけの後戻りの場合、歯の凹凸(おうとつ)は部分矯正で治すことができますが、
奥歯の後戻りは全顎矯正になります。
A、原則、虫歯治療を行った後に矯正治療を行います。
但し、例外として違う部位の治療を同時に行うこともあります。
A、矯正治療をした後は、歯と骨の固定が完全ではないため、保定装置を使った固定が必要になります。
せっかくキレイに整えた歯並びが後戻りしていないか経過を見ていく必要があるため、通院をお願いしています。
A、ほとんど変わりません。
A、できます。
しかし、ブラケットを外す際にセラミック部分が破折することがありますので、やり替えを必要とする場合があります。
A、申し訳ございませんが、当院では対応しておりません。
A、部分矯正は、すべての歯が大人の歯(永久歯)に生え変わった方のみの治療になります。
乳歯が残っている方は、全顎矯正になる可能性が高いです。
A、院内ローン、デンタルローンでのお支払いが可能ですが、未成年の方ですと保護者の方にご契約頂くことになります。
A、1本だけ動かす場合でも、前歯6本に矯正装置をつける必要があるため1本でも2本以上でも治療費は変わりません。