当院の症例紹介
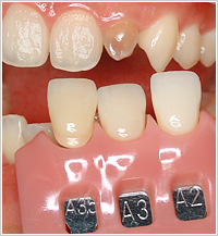
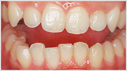
ラミネートベニア(歯がかなり小さく変色している )
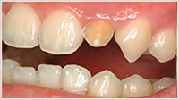
治療前
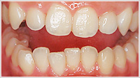
治療後
| 治療 | ラミネートベニア |
|---|---|
| 患者様の年齢 | 20代女性 |
| 初診時の状態 |
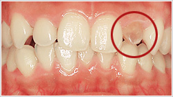
上の左側の2番目の歯が矮小歯(わいしょうし)で、更に歯の神経が死んでいるため変色しています。 |
| 治療内容 | まずは歯の根っこの治療を行い、ホワイトニングをしてからラミネートベニアの施術を行いました。 |
| 治療費 | オフィスホワイトニング/12,000円(税別) ラミネートベニア1歯/100,000円(税別) |
