オールセラミック症例
オールセラミック症例
(歯並びの悪さがコンプレックス)
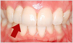
【治療前
【治療後】
| 治療 | オールセラミック |
|---|---|
| 患者様の年齢 | 20代女性 |
| 初診時の状態 | 右上2番目の歯が元々重なって生えていて、歯並びの悪さがコンプレックスで人前で大きな口を開けて笑うことが出来なかったそうです。 |
| 治療内容 | 患者様と相談の結果、矯正治療ではなくオールセラミックを用いて歯並びを整える治療をすることとなりました。 |
| 治療費 | オールセラミック4歯/520,000円(税別) |
