Language Language

インプラント治療の失敗について

前歯のインプラント治療の
失敗について

インプラント治療の失敗について

前歯のインプラントは、奥歯のインプラントに比べて非常に難しい治療です。前歯のインプラント治療を上手にできる歯科医師の数は、意外と多くありません。 当医院で経験の浅い歯科医師にも「奥歯を100本入れるまで前歯を入れてはいけない」というぐらい前歯は難しいと指導しています。 以下は、他院で治療をされた患者様の症例を元に「インプラント治療の失敗」についてお話します。

インプラントを入れる位置の間違い

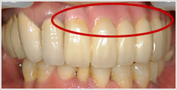
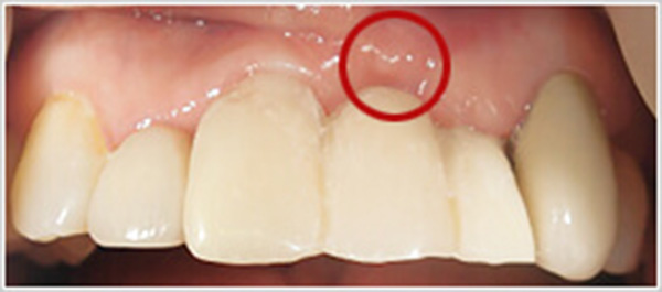
インプラント治療終了後から2ヵ月

インプラントを入れる位置を間違ってしまっていることが原因で、前歯の部分が非常に長くなってしまっています。 前歯は「ここの部分にインプラントを入れる」という場所の決まりがあるのですが、違った場所にインプラントを入れてしまうと、上に被せたかぶせ物が長くなってしまいます。

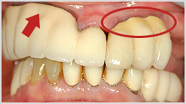
横から見た口腔内

横から見てみると、他の歯と比べて圧倒的に歯が長くなっています。 しかも、歯ぐきからインプラントが透けて見えてしまっています。この状態から綺麗なかぶせ物を入れる方法はありません。

かぶせ物を外して
インプラントの位置を確認

かぶせ物を外してインプラントの位置を見ると、かなり外側にインプラントが入ってしまっています。 もっと舌側にインプラントを入れる必要がありました。このままでは綺麗なかぶせ物は入らないので、このインプラントを取りました。

歯ぐきの移植

そこに歯ぐきの移植(歯ぐきを別の場所から持ってきて、ここに貼り付けて歯ぐきを膨らませる)をして仮歯を入れています。 仮歯の状態ですが、普段の生活をするにはひとまず大丈夫というところまで回復してきています。 まだこの後も治療は続くのですが、前歯のインプラントは非常に難しく、このような少しの間違いで失敗を起こす可能性があるのです。

骨や歯ぐきがないところに
大きな歯を入れてしまう

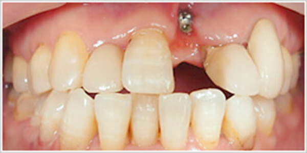
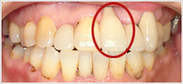
治療前

他院でのインプラント治療終了後から1年半でインプラントが外れてしまっています。 前歯の見た目も綺麗ではありません。骨や歯ぐきがゴッソリ無くなったまま残った骨にインプラントを入れ、その上にかぶせ物が入っていました。 骨や歯ぐきのないところに大きな歯を入れてしまうと、見た目が綺麗ではない仕上がりになってしまいます。

治療後

当院で行っている治療では、かぶせ物の一部に歯ぐきの色をつけて歯ぐきの部分まで補っています。 これによって残っている歯と長さが揃いますし、作り物の歯ぐきも目立ちません。 当院では骨や歯ぐきを大きく失った状態でインプラント治療を希望される方には、このような治療方法を提案しています。

他院でインプラント治療をされてから
不安に思うことがある方へ

歯を失うと、周りの骨や歯ぐきまで一緒になくなってきてしまうことがあります。そういった場合、歯ぐきや骨を増やすインプラント治療もあるのですが、それでも限界があります。骨や歯ぐきを大きく失っている場合は、かぶせ物で歯ぐきの部分を補う治療方法もあります。

ハシモトデンタルオフィスは、他の医院でインプラント治療を失敗された患者様や、インプラントに問題(脱落、違和感、見栄えが悪い、グラグラするなど)を抱えた患者様の原因と状態を探り修復しています。お気軽にご相談ください。

インプラントについて
もっと知っていただくために

インプラントが初めての方へ

当院のインプラント治療について